• Diagnostic and Evaluation Procedures

    • Treatment Procedures
    • Before the Appointment

    • What to expect on Appointment Day

    • Frequently Asked Questions

    • Presentations

    • Human Eye & Retina

    • Basic Eye Care Tips

    • International Patient Service

    • Why Apollo Eye Institute?

    • Frequently Asked Questions

    • Payment Options & Insurance

    • Appointment Enquiries

    • About Hyderabad, India

    • Hotels in Hyderabad

    • Useful Travel Information

  •        Patient Resources



































     
     


    Presentations

    We place a tremendous value on educating our patients, and provide detailed information for your review on our website and in the office. Our physicians take pride in making sure that you are well educated concerning your disorder and therefore can take an active part in your treatment process.



    Here are some presentations developed by Dr. Mallika Goyal

      Ageing, Diabetes & Hypertension and Your Retina


      Ageing, Diabetes & Hypertension and Your Retina

     

      Ageing, Diabetes & Hypertension Preventing vision loss
     

      Central Serous Chorioretinopathy (CSCR) The Wide Spectrum
     

      Cataract & Diabetic Retinopathy
     

      Retinal Vein Occlusions
     

      Photodynamic Therapy for AMD
     

      Wet Age-related Macular Degeneration Neovascular AMD
     

      Retinal Detachment Decision Making
     

      Fundus Fluorescein Angiography Procedures
     

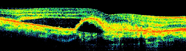
      Optical Coherence Tomography (OCT)  Procedures
     

      Central Retinal Vein Occlusions (CRVO)


      Anti-VEGF drugs & CATT Results in Age Related Macular Degeneration (AMD)


     
    Photodynamic Therapy
    Selective occlusion of abnormal vessels without damage to overlying retina


      Management of Dry AMD (Age Related Macular Degeneration)


       Posterior & Pan Uveitis  

    Case presentations highlighting evaluation & management




     

     

     

     

    COPYRIGHT � 2014 APOLLO EYE INSTITUTE   DR MALLIKA GOYAL

    Website: Proactive Techno Labs